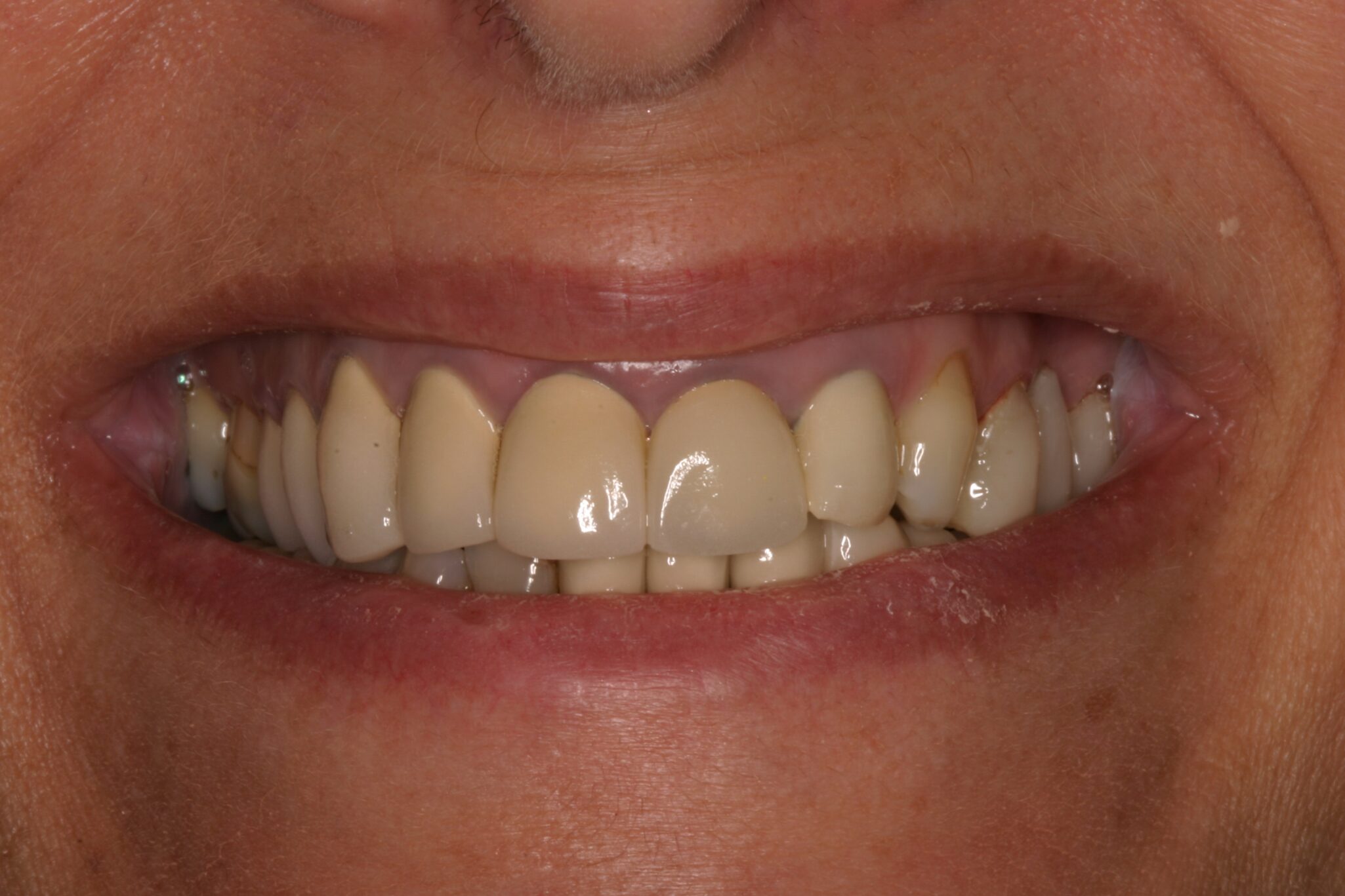
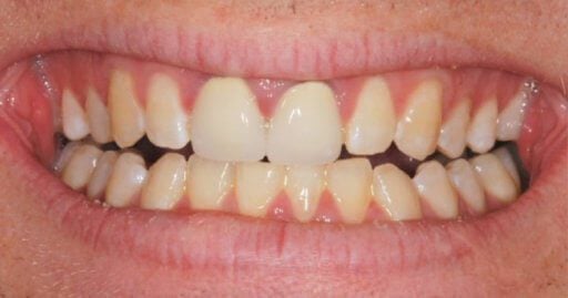
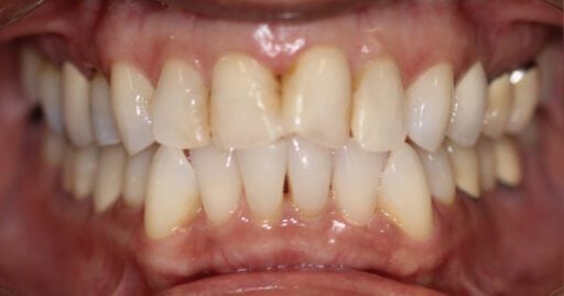
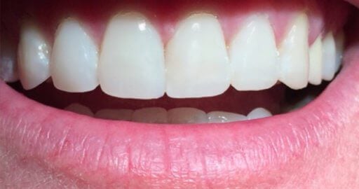
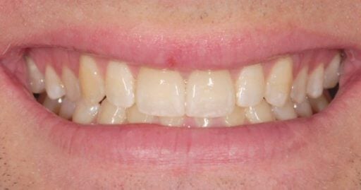
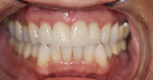
Real Smiles, Real Results
“Over the years, I’ve been honored to help patients achieve transformations that go far beyond appearance restoring function, confidence, and comfort. These before-and-after photos show what’s possible through the combined strengths of our dedicated team, our state-of-the-art facility, and the advanced care we provide. If you’ve ever wondered whether the smile you want is out of reach, know that many of our patients once felt the same until they trusted us with their care.”
Dr. Ban R. Barbat
Slide Arrows Sideways To See More



























